Bingöl'de zehir tacirleri her yolu denedi! Midelerinde paket taşıyan 2 zanlı tutuklandı...

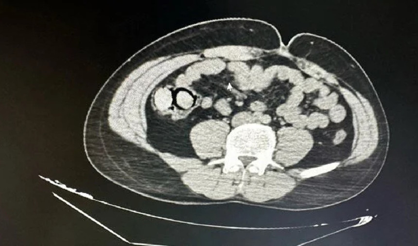
Bingöl'de midelerinde 113 gram metamfetamin ele geçirilen 2 şüpheli tutuklandı. Hastanede yapılan muayenede midelerinde metanfetamin paketleri teşhis edilen şahıslar kullandıkları bu yöntemle yok artık dedirtti.

İl Emniyet Müdürlüğünden yapılan açıklamaya göre, Narkotik Suçlarla Mücadele Şube Müdürlüğü ekipleri, uyuşturucu ticareti yaptığı iddiasıyla 2 zanlıyı yakaladı.

MİDELERİNDE PAKET TAŞIDIKLARI TESPİT EDİLDİ

Şüphelilerin hastanede yapılan muayenesinde, midelerinde 10 parça halinde 113 gram metamfetamin tespit edildi.

TUTUKLAMA KARARI ÇIKTI

Emniyetteki işlemlerinin ardından adliyeye sevk edilen zanlılar, çıkarıldıkları hakimlikçe tutuklandı.

GÜNÜN VİDEOSU

İsrail, Gazze’de masum sivilleri diri diri yaktı: Ateşkese rağmen katliam sürüyor

Gazze’de ateşkese rağmen katliam devam ediyor. İsrail’e ait İHA’lar Han Yunus’ta sivillerin kaldığı çadırları vurdu. Aralarında çocukların da bulunduğu çok sayıda masum insan diri diri yanarak can verdi. İsrail ordusu, “Sarı Hat” dışına geçerek hem Gazze’de hem Batı Şeria’da saldırıları tırmandırıyor. Filistin’de bilanço ağırlaşıyor.